ATP6V0A4单克隆抗体[9C9H9]

AccuSift
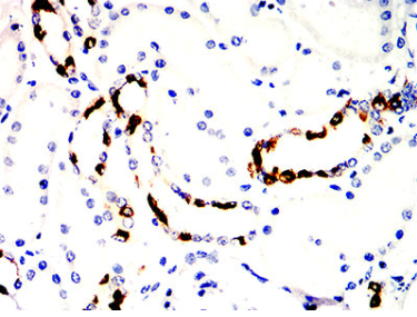
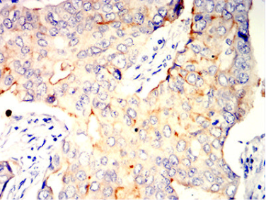
ATP6V0A4 Mouse Monoclonal antibody[9C9H9]
A4; STV1; VPH1; VPP2; DRTA3; RTA1C; RTADR; ATP6N2; RDRTA2; ATP6N1B
货号 名称 规格 价格 货期 数量
AC1211 ATP6V0A4单克隆抗体[9C9H9] 50ug ¥1250 1周
AC1211 ATP6V0A4单克隆抗体[9C9H9] 100ug ¥2200 1周

This gene encodes a component of vacuolar ATPase (V-ATPase), a multisubunit enzyme that mediates acidification of intracellular compartments of eukaryotic cells. V-ATPase dependent acidification is necessary for such intracellular processes as protein sorting, zymogen activation, receptor-mediated endocytosis, and synaptic vesicle proton gradient generation. V-ATPase is composed of a cytosolic V1 domain and a transmembrane V0 domain. The V1 domain consists of three A and three B subunits, two G subunits plus the C, D, E, F, and H subunits. The V1 domain contains the ATP catalytic site. The V0 domain consists of five different subunits: a, c, c', c'', and d. This gene is one of four genes in man and mouse that encode different isoforms of the a subunit. Alternatively spliced transcript variants encoding the same protein have been described. Mutations in this gene are associated with renal tubular acidosis associated with preserved hearing.

    

Aliases:  A4; STV1; VPH1; VPP2; DRTA3; RTA1C; RTADR; ATP6N2; RDRTA2; ATP6N1B    

Entrez GeneID:  50617    

Swissprot: Q9HBG4    

WB Predicted band size:  96.3kDa    

Host/Isotype:  Mouse IgG1    

Species Reactivity:  Human    

Immunogen:  Purified recombinant fragment of human ATP6V0A4 (AA: 228-390) expressed in E. Coli.    

操作说明

IHC    1/200 - 1/1000    

FCM    1/200 - 1/400    

ELISA    1/10000    

参考文献