ATP5F1A单克隆抗体[3A6B9]

AccuSift
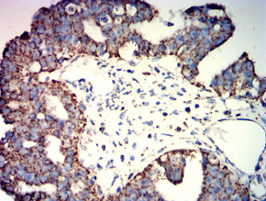
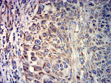
ATP5F1A Mouse Monoclonal antibody[3A6B9]
OMR; ORM; ATPM; MOM2; ATP5A; hATP1; ATP5A1; MC5DN4; ATP5AL2; COXPD22; HEL-S-123m
货号 名称 规格 价格 货期 数量
AC1207 ATP5F1A单克隆抗体[3A6B9] 50ug ¥1250 1周
AC1207 ATP5F1A单克隆抗体[3A6B9] 100ug ¥2200 1周

This gene encodes a subunit of mitochondrial ATP synthase. Mitochondrial ATP synthase catalyzes ATP synthesis, using an electrochemical gradient of protons across the inner membrane during oxidative phosphorylation. ATP synthase is composed of two linked multi-subunit complexes: the soluble catalytic core, F1, and the membrane-spanning component, Fo, comprising the proton channel. The catalytic portion of mitochondrial ATP synthase consists of 5 different subunits (alpha, beta, gamma, delta, and epsilon) assembled with a stoichiometry of 3 alpha, 3 beta, and a single representative of the other 3. The proton channel consists of three main subunits (a, b, c). This gene encodes the alpha subunit of the catalytic core. Alternatively spliced transcript variants encoding the different isoforms have been identified. Pseudogenes of this gene are located on chromosomes 9, 2, and 16.

    

Aliases :   OMR; ORM; ATPM; MOM2; ATP5A; hATP1; ATP5A1; MC5DN4; ATP5AL2; COXPD22; HEL-S-123m    

Entrez GeneID :   498    

Swissprot :   P25705    

WB Predicted band size :   59.8kDa    

Host/Isotype :   Mouse IgG1    

Species Reactivity :   Human, Mouse, Rat, Monkey    

Immunogen :   Purified recombinant fragment of human ATP5F1A (AA: 44-220) expressed in E. Coli.    

操作说明

WB    1/500 - 1/2000    

IHC    1/200 - 1/1000    

FCM    1/200 - 1/400    

ELISA    1/10000    

参考文献