ATP2C1单克隆抗体[4G12B]

AccuSift
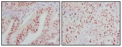
ATP2C1 Mouse Monoclonal antibody[4G12B]
HHD; BCPM; PMR1; SPCA1
货号 名称 规格 价格 货期 数量
AC1205 ATP2C1单克隆抗体[4G12B] 50ug ¥1250 1周
AC1205 ATP2C1单克隆抗体[4G12B] 100ug ¥2200 1周

ATP2C1, also known as PMR1, it belongs to the family of P-type cation transport ATPases. This magnesium-dependent enzyme catalyzes the hydrolysis of ATP coupled with the transport of the calcium. The human homologue, ATP2C1 (also designated SPLA in rat), also regulates the transport of calcium in the Golgi complex and is related to other P-type ATPases family members, such as the sarco(endo)plasmic calcium ATPase (SERCA) and the plasma membrane calcium ATPase (PCMA). ATP2C1 is a transmembrane protein that exists as two splice variants, which vary by 20 amino acids. Defects in ATP2C1 cause Hailey-Hailey disease, which is an autosomal dominant disorder that is characterized by blisters and erosions of the skin. These findings provide further evidence that PMR1 plays a key role in maintaining the integrity of the epidermis by controlling intracellular calcium signaling.

    

Aliases  :  HHD; BCPM; PMR1; SPCA1    

Entrez GeneID :   27032    

Swissprot :   P98194     

WB Predicted band size :  100kDa    

Host/Isotype:  Mouse IgG1     

Species Reactivity:  Human,Monkey    

Immunogen:  Purified recombinant fragment of ATP2C1 expressed in E. Coli.    

操作说明

WB    1/500 - 1/2000    

IHC    1/200 - 1/1000    

ELISA    1/10000    

参考文献