ATP1A1单克隆抗体[2D3A1]

AccuSift
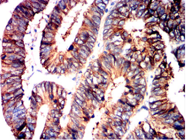
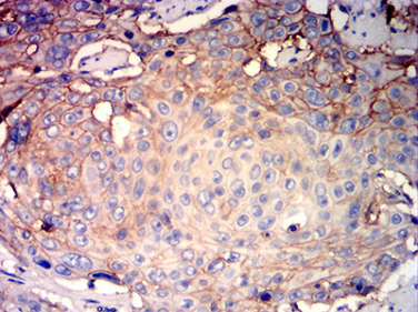
ATP1A1 Mouse Monoclonal antibody[2D3A1]
CMT2DD; HOMGSMR2
货号 名称 规格 价格 货期 数量
AC1201 ATP1A1单克隆抗体[2D3A1] 50ug ¥1250 1周
AC1201 ATP1A1单克隆抗体[2D3A1] 100ug ¥2200 1周

The protein encoded by this gene belongs to the family of P-type cation transport ATPases, and to the subfamily of Na+/K+ -ATPases. Na+/K+ -ATPase is an integral membrane protein responsible for establishing and maintaining the electrochemical gradients of Na and K ions across the plasma membrane. These gradients are essential for osmoregulation, for sodium-coupled transport of a variety of organic and inorganic molecules, and for electrical excitability of nerve and muscle. This enzyme is composed of two subunits, a large catalytic subunit (alpha) and a smaller glycoprotein subunit (beta). The catalytic subunit of Na+/K+ -ATPase is encoded by multiple genes. This gene encodes an alpha 1 subunit. Multiple transcript variants encoding different isoforms have been found for this gene.

    

Aliases :   CMT2DD; HOMGSMR2    

Entrez GeneID :   476    

Swissprot : P05023    

WB Predicted band size:  112.8kDa    

Host/Isotype:  Mouse IgG2a    

Species Reactivity:  Human    

Immunogen:  Purified recombinant fragment of human ATP1A1 (AA: 153-288) expressed in E. Coli.    


操作说明

WB    1/500 - 1/2000    

IHC    1/200 - 1/1000    

IF/ICC    1/200 - 1/1000    

FCM    1/200 - 1/400    

ELISA    1/10000    

参考文献