ATG5单克隆抗体[3C7A8]

AccuSift
ATG5 Mouse Monoclonal antibody[3C7A8]
ASP; APG5; APG5L; hAPG5; APG5-LIKE
货号 名称 规格 价格 货期 数量
AC1192 ATG5单克隆抗体[3C7A8] 50ug ¥1250 1周
AC1192 ATG5单克隆抗体[3C7A8] 100ug ¥2200 1周

The protein encoded by this gene, in combination with autophagy protein 12, functions as an E1-like activating enzyme in a ubiquitin-like conjugating system. The encoded protein is involved in several cellular processes, including autophagic vesicle formation, mitochondrial quality control after oxidative damage, negative regulation of the innate antiviral immune response, lymphocyte development and proliferation, MHC II antigen presentation, adipocyte differentiation, and apoptosis. Several transcript variants encoding different protein isoforms have been found for this gene.


Aliases :   ASP; APG5; APG5L; hAPG5; APG5-LIKE    

Entrez GeneID :  9474    

Swissprot :  Q9H1Y0     

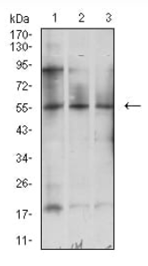
WB Predicted band size :  32.4kDa    

Host/Isotype :  Mouse IgG2b    

Species Reactivity :  Human    

Immunogen : Purified recombinant fragment of human ATG5 (AA: 144-275) expressed in E. Coli.    

操作说明

WB    1/500 - 1/2000   

IF/ICC    1/100 - 1/500    

FCM    1/200 - 1/400    

ELISA    1/10000    

参考文献