ATG3单克隆抗体[7A1D1]

AccuSift
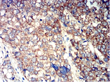
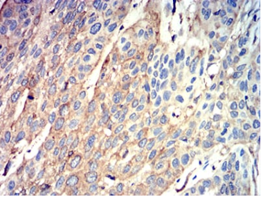
ATG3 Mouse Monoclonal antibody[7A1D1]
APG3; APG3L; PC3-96; APG3-LIKE
货号 名称 规格 价格 货期 数量
AC1185 ATG3单克隆抗体[7A1D1] 50ug ¥1250 1周
AC1185 ATG3单克隆抗体[7A1D1] 100ug ¥2200 1周

This gene encodes a ubiquitin-like-conjugating enzyme and is a component of ubiquitination-like systems involved in autophagy, the process of degradation, turnover and recycling of cytoplasmic constituents in eukaryotic cells. This protein is known to play a role in regulation of autophagy during cell death. A pseudogene of this gene is located on chromosome 20. Alternative splicing results in multiple transcript variants encoding different isoforms.

    

Aliases    APG3; APG3L; PC3-96; APG3-LIKE    

Entrez GeneID    64422    

Swissprot    Q9NT62    

WB Predicted band size    35.9kDa    

Host/Isotype    Mouse IgG1    

Species Reactivity    Human,Monkey    

Immunogen    Purified recombinant fragment of human ATG3 (AA: 1-100) expressed in E. Coli.    


操作说明

WB    1/500 - 1/2000    

IHC    1/200 - 1/1000    

IF/ICC    1/200 - 1/1000    

ELISA    1/10000    

参考文献