ASS1单克隆抗体[2C106]

AccuSift
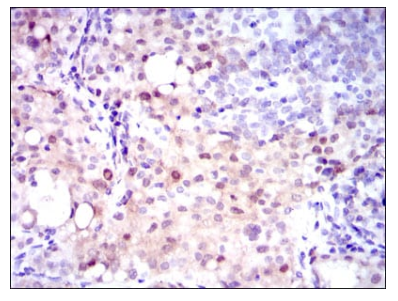
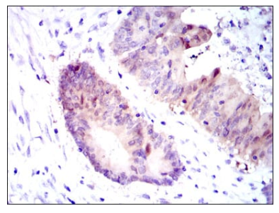
ASS1 Mouse Monoclonal antibody[2C106]
ASS; CTLN1
货号 名称 规格 价格 货期 数量
AC1170 ASS1单克隆抗体[2C106] 50ug ¥1250 1周
AC1170 ASS1单克隆抗体[2C106] 100ug ¥2200 1周


The protein encoded by this gene catalyzes the penultimate step of the arginine biosynthetic pathway. There are approximately 10 to 14 copies of this gene including the pseudogenes scattered across the human genome, among which the one located on chromosome 9 appears to be the only functional gene for argininosuccinate synthetase. Mutations in the chromosome 9 copy of ASS cause citrullinemia. Two transcript variants encoding the same protein have been found for this gene.


Aliases :  ASS; CTLN1    

Entrez GeneID:   445    

Swissprot:  P00966       

WB Predicted band size:   47kDa    

Host/Isotype:  Mouse IgG1    

Species Reactivity:   Human,Mouse,Monkey    

Immunogen:  Purified recombinant fragment of human ASS1 expressed in E. Coli.    


操作说明

WB    1/500 - 1/2000    

IHC    1/200 - 1/1000    

ELISA    1/10000    

参考文献