ASGR2单克隆抗体[2C6D1]

AccuSift
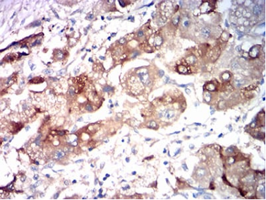
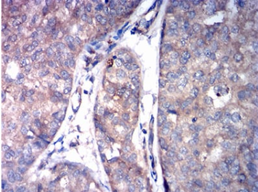
ASGR2 Mouse Monoclonal antibody[2C6D1]
HL-2; HBXBP; ASGPR2; ASGP-R2; CLEC4H2
货号 名称 规格 价格 货期 数量
AC1166 ASGR2单克隆抗体[2C6D1] 50ug ¥1250 1周
AC1166 ASGR2单克隆抗体[2C6D1] 100ug ¥2200 1周

This gene encodes a subunit of the asialoglycoprotein receptor. This receptor is a transmembrane protein that plays a critical role in serum glycoprotein homeostasis by mediating the endocytosis and lysosomal degradation of glycoproteins with exposed terminal galactose or N-acetylgalactosamine residues. The asialoglycoprotein receptor may facilitate hepatic infection by multiple viruses including hepatitis B, and is also a target for liver-specific drug delivery. The asialoglycoprotein receptor is a hetero-oligomeric protein composed of major and minor subunits, which are encoded by different genes. The protein encoded by this gene is the less abundant minor subunit. Alternatively spliced transcript variants encoding multiple isoforms have been observed for this gene.

    

Aliases:  HL-2; HBXBP; ASGPR2; ASGP-R2; CLEC4H2    

Entrez GeneID:  433    

Swissprot:  P07307      

WB Predicted band size :  35kDa    

Host/Isotype :  Mouse IgG1    

Species Reactivity :  Human    

Immunogen :  Purified recombinant fragment of human ASGR2 (AA: 80-311) expressed in E. Coli.    


操作说明

IHC    1/200 - 1/1000    

FCM    1/200 - 1/400    

ELISA    1/10000    

参考文献