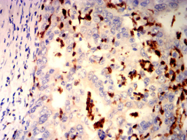
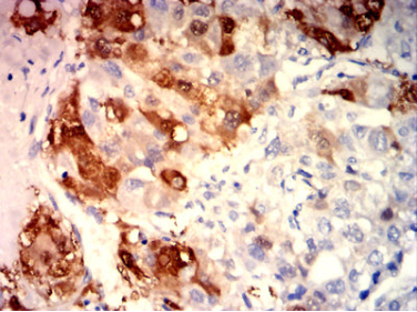
ARG1 单克隆抗体[7D1D]

AccuSift
ARG1 Mouse Monoclonal antibody[7D1D]
ARG1
货号 名称 规格 价格 货期 数量
AC1157 ARG1 单克隆抗体[7D1D] 50ug ¥1250 1周
AC1157 ARG1 单克隆抗体[7D1D] 100ug ¥2200 1周

Arginase catalyzes the hydrolysis of arginine to ornithine and urea. At least two isoforms of mammalian arginase exist (types I and II) which differ in their tissue distribution, subcellular localization, immunologic crossreactivity and physiologic function. The type I isoform encoded by this gene, is a cytosolic enzyme and expressed predominantly in the liver as a component of the urea cycle. Inherited deficiency of this enzyme results in argininemia, an autosomal recessive disorder characterized by hyperammonemia. Two transcript variants encoding different isoforms have been found for this gene. [provided by RefSeq, Sep 2011]

    

Aliases :   ARG1    

Entrez GeneID :   383    

Swissprot :   P05089    

WB Predicted band size :   34.7kDa    

Host/Isotype :  Mouse IgG1    

Species Reactivity :  Human    

Immunogen :  Purified recombinant fragment of human ARG1 (AA: (1-322)) expressed in E. Coli.    


操作说明

IHC    1/200-1/1000    

FCM    1/200-1/400    

ELISA    1/10000    

参考文献