ARFGAP1单克隆抗体[1C4E2]

AccuSift
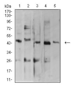
ARFGAP1 Mouse Monoclonal antibody[1C4E2]
ARF1GAP; HRIHFB2281
货号 名称 规格 价格 货期 数量
AC1155 ARFGAP1单克隆抗体[1C4E2] 50ug ¥1250 1周
AC1155 ARFGAP1单克隆抗体[1C4E2] 100ug ¥2200 1周

The protein encoded by this gene is a GTPase-activating protein, which associates with the Golgi apparatus and which interacts with ADP-ribosylation factor 1. The encoded protein promotes hydrolysis of ADP-ribosylation factor 1-bound GTP and is required for the dissociation of coat proteins from Golgi-derived membranes and vesicles. Dissociation of the coat proteins is required for the fusion of these vesicles with target compartments. The activity of this protein is stimulated by phosphoinosides and inhibited by phosphatidylcholine. Alternative splicing results in multiple transcript variants.


Aliases:    ARF1GAP; HRIHFB2281    

Entrez GeneID :   55738    

Swissprot :   Q8N6T3       

WB Predicted band size :   44.7kDa    

Host/Isotype :   Mouse IgG2b    

Species Reactivity :   Human,Mouse    

Immunogen :   Purified recombinant fragment of human ARFGAP1 (AA: 270-414) expressed in E. Coli.    


操作说明

WB    1/500 - 1/2000    

FCM    1/200 - 1/400    

ELISA    1/10000    

参考文献