APEX1单克隆抗体[7A2G7]

AccuSift
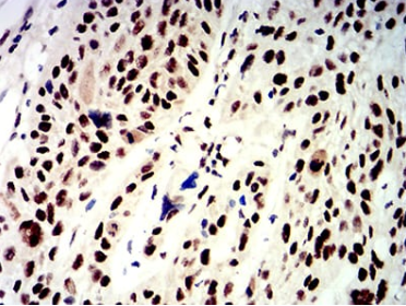
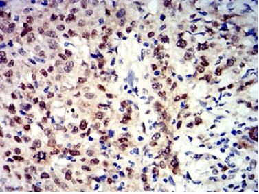
APEX1 Mouse Monoclonal antibody[7A2G7]
APE; APX; APE1; APEN; APEX; HAP1; REF1
货号 名称 规格 价格 货期 数量
AC1135 APEX1单克隆抗体[7A2G7] 50ug ¥1250 1周
AC1135 APEX1单克隆抗体[7A2G7] 100ug ¥2200 1周

Apurinic/apyrimidinic (AP) sites occur frequently in DNA molecules by spontaneous hydrolysis, by DNA damaging agents or by DNA glycosylases that remove specific abnormal bases. AP sites are pre-mutagenic lesions that can prevent normal DNA replication so the cell contains systems to identify and repair such sites. Class II AP endonucleases cleave the phosphodiester backbone 5' to the AP site. This gene encodes the major AP endonuclease in human cells. Splice variants have been found for this gene; all encode the same protein.

    

Aliases :  APE; APX; APE1; APEN; APEX; HAP1; REF1    

Entrez GeneID :   328    

Swissprot:   P27695        

WB Predicted band size :   35.6kDa    

Host/Isotype :   Mouse IgG1    

Species Reactivity :   Human,Rat,Monkey    

Immunogen :   Purified recombinant fragment of human APEX1 (AA: 219-318) expressed in E. Coli.    

操作说明

WB    1/500 - 1/2000    

IHC    1/200 - 1/1000    

FCM    1/200 - 1/400    

ELISA    1/10000    

参考文献