AOF1单克隆抗体[5E10C]

AccuSift
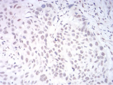
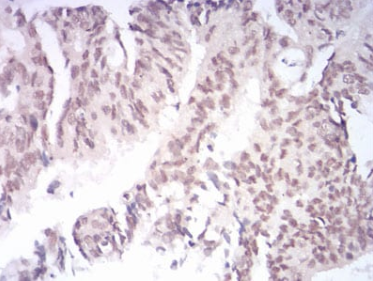
AOF1 Mouse Monoclonal antibody[5E10C]
KDM1B; LSD2; C6orf193; bA204B7.3; dJ298J15.2
货号 名称 规格 价格 货期 数量
AC1125 AOF1单克隆抗体[5E10C] 50ug ¥1250 1周
AC1125 AOF1单克隆抗体[5E10C] 100ug ¥2200 1周


Flavin-dependent histone demethylases, such as KDM1B, regulate histone lysine methylation, an epigenetic mark that regulates gene expression and chromatin function.

   



Aliases:    KDM1B; LSD2; C6orf193; bA204B7.3; dJ298J15.2    

Entrez GeneID :   221656    

Swissprot:    Q8NB78        

WB Predicted band size:   92kDa    

Host/Isotype:    Mouse IgG1    

Species Reactivity :   Human    

Immunogen :   Purified recombinant fragment of human AOF1 (AA: 6-129) expressed in E. Coli.    

操作说明

IHC    1/200 - 1/1000    

IF/ICC    1/200 - 1/1000    

FCM    1/200 - 1/400    

ELISA    1/10000    

参考文献