AMACR单克隆抗体[2A10F]

AccuSift
AMACR Mouse Monoclonal antibody[2A10F]
RACE; CBAS4; AMACR
货号 名称 规格 价格 货期 数量
AC1110 AMACR单克隆抗体[2A10F] 50ug ¥1250 1周
AC1110 AMACR单克隆抗体[2A10F] 100ug ¥2200 1周

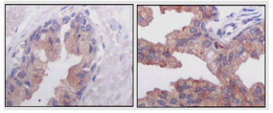
AMACR (alpha-methylacyl-CoA racemase) has been recently described as prostate cancer-specific gene that encodes a protein involved in the beta-oxidation of branched chain fatty acids. Expression of AMACR protein is found in prostatic adenocarcinoma but not in benign prostatic tissue. It stains premalignant lesions of prostate: high-grade prostatic intraepithelial neoplasia (PIN) and atypical adenomatous hyperplasia. AMACR can be used as a positive marker for PIN. Defects in AMACR are the cause of congenital bile acid synthesis defect type 4 (CBAS4); also known as cholestasis, intrahepatic, with defective conversion of trihydroxycoprostanic acid to cholic acid or trihydroxycoprostanic acid in bile. Clinical features include neonatal jaundice, intrahepatic cholestasis, bile duct deficiency and absence of cholic acid from bile.


Aliases :  RACE    

Entrez GeneID :   23600    

Swissprot :   Q9UHK6      

WB Predicted band size :   42kDa    

Host/Isotype :   Mouse IgG2b    

Species Reactivity :   Human,Mouse    

Immunogen :   Purified recombinant fragment of human AMACR expressed in E. Coli.    

操作说明

WB    1/500 - 1/2000    

IHC    1/200 - 1/1000    

IF/ICC    1/200 - 1/1000    

ELISA    1/10000    

参考文献