ALPL单克隆抗体[2F4D11]

AccuSift
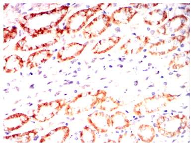
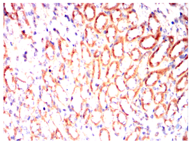
ALPL Mouse Monoclonal antibody[2F4D11]
HOPS; TNAP; APTNAP; TNSALP; AP-TNAP
货号 名称 规格 价格 货期 数量
AC1108 ALPL单克隆抗体[2F4D11] 50ug ¥1250 1周
AC1108 ALPL单克隆抗体[2F4D11] 100ug ¥2200 1周

There are at least four distinct but related alkaline phosphatases: intestinal, placental, placental-like, and liver/bone/kidney (tissue non-specific). The first three are located together on chromosome 2, while the tissue non-specific form is located on chromosome 1. The product of this gene is a membrane bound glycosylated enzyme that is not expressed in any particular tissue and is, therefore, referred to as the tissue-nonspecific form of the enzyme. The exact physiological function of the alkaline phosphatases is not known. A proposed function of this form of the enzyme is matrix mineralization; however, mice that lack a functional form of this enzyme show normal skeletal development. This enzyme has been linked directly to hypophosphatasia, a disorder that is characterized by hypercalcemia and includes skeletal defects. The character of this disorder can vary, however, depending on the specific mutation since this determines age of onset and severity of symptoms. Alternatively spliced transcript variants have been described.

    

Aliases    HOPS; TNAP; APTNAP; TNSALP; AP-TNAP    

Entrez GeneID    249    

Swissprot    P05186    

WB Predicted band size    57.3kDa    

Host/Isotype    Mouse IgG1    

Species Reactivity    Human,Mouse,Rat,Rabbit    

Immunogen    Purified recombinant fragment of human ALPL expressed in E. Coli.    

操作说明

WB    1/500 - 1/2000    

IHC    1/200 - 1/1000    

FCM    1/200 - 1/400    

ELISA    1/10000    

参考文献