ALPG单克隆抗体[3A2B7]

AccuSift
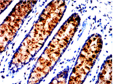
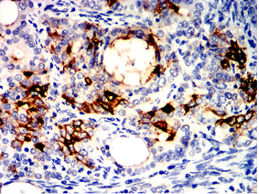
ALPG Mouse Monoclonal antibody[3A2B7]
GCAP; ALPPL; ALPPL2
货号 名称 规格 价格 货期 数量
AC1104 ALPG单克隆抗体[3A2B7] 50ug ¥1250 1周
AC1104 ALPG单克隆抗体[3A2B7] 100ug ¥2200 1周

There are at least four distinct but related alkaline phosphatases: intestinal, placental, placental-like, and liver/bone/kidney (tissue non-specific). The product of this gene is a membrane bound glycosylated enzyme, localized to testis, thymus and certain germ cell tumors, that is closely related to both the placental and intestinal forms of alkaline phosphatase.

    

Aliases    GCAP; ALPPL; ALPPL2    

Entrez GeneID    251    

Swissprot    P10696        

WB Predicted band size    57.3kDa    

Host/Isotype    Mouse IgG2b    

Species Reactivity    Human    

Immunogen    Purified recombinant fragment of human ALPG (AA: 170-285) expressed in E. Coli.    

操作说明

WB    1/500 - 1/2000    

IHC    1/200 - 1/1000    

IF/ICC    1/50 - 1/200    

FCM    1/200 - 1/400    

ELISA    1/10000    

参考文献