ALDH1L1单克隆抗体[1B5E9]

AccuSift
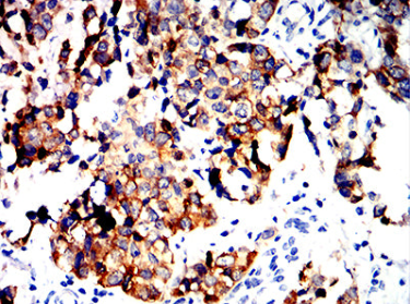
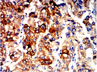
ALDH1L1 Mouse Monoclonal antibody[1B5E9]
FDH; FTHFD; 10-fTHF; 10-FTHFDH
货号 名称 规格 价格 货期 数量
AC1091 ALDH1L1单克隆抗体[1B5E9] 50ug ¥1250 1周
AC1091 ALDH1L1单克隆抗体[1B5E9] 100ug ¥2200 1周

The protein encoded by this gene catalyzes the conversion of 10-formyltetrahydrofolate, nicotinamide adenine dinucleotide phosphate (NADP+), and water to tetrahydrofolate, NADPH, and carbon dioxide. The encoded protein belongs to the aldehyde dehydrogenase family. Loss of function or expression of this gene is associated with decreased apoptosis, increased cell motility, and cancer progression. There is an antisense transcript that overlaps on the opposite strand with this gene locus. Alternative splicing results in multiple transcript variants.


Aliases    FDH; FTHFD; 10-fTHF; 10-FTHFDH    

Entrez GeneID    10840    

Swissprot    O75891      

WB Predicted band size    98.8kDa    

Host/Isotype    Mouse IgG1    

Species Reactivity    Human, Mouse, Rat    

Immunogen    Purified recombinant fragment of human ALDH1L1 (AA: 10-222) expressed in E. Coli.    

操作说明

WB    1/500 - 1/2000    

IHC    1/200 - 1/1000    

FCM    1/200 - 1/400    

ELISA    1/10000    

参考文献