ALCAM单克隆抗体[8EC7]

AccuSift
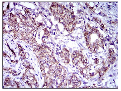
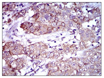
ALCAM Mouse Monoclonal antibody[8EC7]
MEMD; CD166; FLJ38514; MGC71733
货号 名称 规格 价格 货期 数量
AC1087 ALCAM单克隆抗体[8EC7] 50ug ¥1250 1周
AC1087 ALCAM单克隆抗体[8EC7] 100ug ¥2200 1周

This gene encodes activated leukocyte cell adhesion molecule (ALCAM), also known as CD166 (cluster of differentiation 166), which is a member of a subfamily of immunoglobulin receptors with five immunoglobulin-like domains (VVC2C2C2) in the extracellular domain. This protein binds to T-cell differentiation antigene CD6, and is implicated in the processes of cell adhesion and migration. Multiple alternatively spliced transcript variants encoding different isoforms have been found.

    

Aliases:    MEMD; CD166; FLJ38514; MGC71733    

Entrez GeneID:    214    

Swissprot:    Q13740    

WB Predicted band size:   65.1kDa    

Host/Isotype:    Mouse IgG2a    

Species Reactivity:   Human    

Immunogen:  Purified recombinant fragment of human ALCAM (AA: 48-216) expressed in E. Coli.    

操作说明

IHC    1/200 - 1/1000    

IF/ICC    1/200 - 1/1000    

FCM    1/200 - 1/400    

ELISA    1/10000    

参考文献