AKT1单克隆抗体[1F7G2]

AccuSift
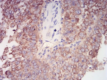
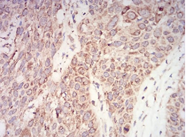
AKT1 Mouse Monoclonal antibody[1F7G2]
AKT; PKB; RAC; CWS6; PRKBA; PKB-ALPHA; RAC-ALPHA
货号 名称 规格 价格 货期 数量
AC1073 AKT1单克隆抗体[1F7G2] 50ug ¥1250 1周
AC1073 AKT1单克隆抗体[1F7G2] 100ug ¥2200 1周

The serine-threonine protein kinase encoded by the AKT1 gene is catalytically inactive in serum-starved primary and immortalized fibroblasts. AKT1 and the related AKT2 are activated by platelet-derived growth factor. The activation is rapid and specific, and it is abrogated by mutations in the pleckstrin homology domain of AKT1. It was shown that the activation occurs through phosphatidylinositol 3-kinase. In the developing nervous system AKT is a critical mediator of growth factor-induced neuronal survival. Survival factors can suppress apoptosis in a transcription-independent manner by activating the serine/threonine kinase AKT1, which then phosphorylates and inactivates components of the apoptotic machinery. Mutations in this gene have been associated with the Proteus syndrome. Multiple alternatively spliced transcript variants have been found for this gene.

    

Aliases:    AKT; PKB; RAC; CWS6; PRKBA; PKB-ALPHA; RAC-ALPHA    

Entrez GeneID:    207    

Swissprot:    P31749    

WB Predicted band size:    55.7kDa    

Host/Isotype    Mouse IgG1     

Species Reactivity:    Human,Rat,Monkey    

Immunogen:    Purified recombinant fragment of human AKT1 (AA: 1-150) expressed in E. Coli.    

操作说明

WB    1/500 - 1/2000    

IHC    1/200 - 1/1000    

FCM    1/200 - 1/400    

ELISA    1/10000    

参考文献