AIF单克隆抗体[4E7E11]

AccuSift
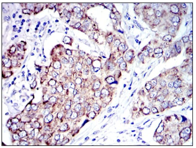
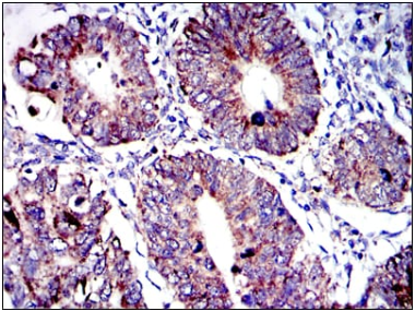
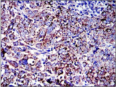
AIF Mouse Monoclonal antibody[4E7E11]
AIFM1; AIF; PDCD8; COXPD6; MGC111425
货号 名称 规格 价格 货期 数量
AC1069 AIF单克隆抗体[4E7E11] 50ug ¥1250 1周
AC1069 AIF单克隆抗体[4E7E11] 100ug ¥2200 1周

This gene encodes a flavoprotein essential for nuclear disassembly in apoptotic cells, and it is found in the mitochondrial intermembrane space in healthy cells. Induction of apoptosis results in the translocation of this protein to the nucleus where it affects chromosome condensation and fragmentation. In addition, this gene product induces mitochondria to release the apoptogenic proteins cytochrome c and caspase-9. Mutations in this gene cause combined oxidative phosphorylation deficiency 6, which results in a severe mitochondrial encephalomyopathy. Alternative splicing results in multiple transcript variants. A related pseudogene has been identified on chromosome 10

    

Aliases    AIFM1; AIF; PDCD8; COXPD6; MGC111425    

Entrez GeneID    9131    

Swissprot    O95831     

WB Predicted band size    67kDa    

Host/Isotype    Mouse IgG2b    

Species Reactivity    Human,Mouse,Rat,,Monkey    

Immunogen    Purified recombinant fragment of human AIF expressed in E. Coli.    


操作说明

WB    1/500 - 1/2000    

IHC    1/200 - 1/1000    

IF/ICC    1/200 - 1/1000    

FCM    1/200 - 1/400    

ELISA    1/10000    

参考文献