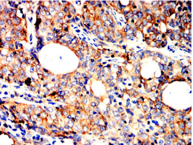
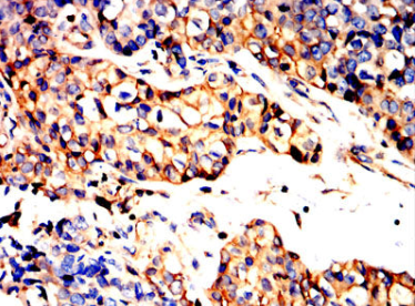
AHNAK单克隆抗体[8B3A4]

AccuSift
AHNAK Mouse Monoclonal antibody[8B3A4]
PM227; AHNAKRS
货号 名称 规格 价格 货期 数量
AC1066 AHNAK单克隆抗体[8B3A4] 50ug ¥1250 1周
AC1066 AHNAK单克隆抗体[8B3A4] 100ug ¥2200 1周

The protein encoded by this gene is a large (700 kDa) structural scaffold protein consisting of a central domain with 128 aa repeats. The encoded protein may play a role in such diverse processes as blood-brain barrier formation, cell structure and migration, cardiac calcium channel regulation, and tumor metastasis. A much shorter variant encoding a 17 kDa isoform exists for this gene, and the shorter isoform initiates a feedback loop that regulates alternative splicing of this gene.

    

Aliases    PM227; AHNAKRS    

Entrez GeneID    79026    

Swissprot    Q09666    

WB Predicted band size    63KDa    

Host/Isotype    Mouse IgG1        

Species Reactivity    Human    

Immunogen    Purified recombinant fragment of human AHNAK (AA: 1-200) expressed in E. Coli.    


操作说明

WB    1/500-1/1000    

IHC    1/200 - 1/1000    

IF/ICC    1/200 - 1/1000    

FCM    1/200 - 1/400    

ELISA    1/10000    

参考文献