ACTR3单克隆抗体[3G2G1]

AccuSift
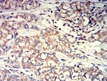
ACTR3 Mouse Monoclonal antibody[3G2G1]
ARP3
货号 名称 规格 价格 货期 数量
AC1040 ACTR3单克隆抗体[3G2G1] 50ug ¥1250 1周
AC1040 ACTR3单克隆抗体[3G2G1] 100ug ¥2200 1周

The specific function of this gene has not yet been determined; however, the protein it encodes is known to be a major constituent of the ARP2/3 complex. This complex is located at the cell surface and is essential to cell shape and motility through lamellipodial actin assembly and protrusion. Three transcript variants encoding two different isoforms have been found for this gene.


Aliases :   ARP3    

Entrez GeneID :   10096    

Swissprot:    P61158     

WB Predicted band size:    47.4kDa    

Host/Isotype :   Mouse IgG1    

Species Reactivity:    Human,Mouse    

Immunogen :   Purified recombinant fragment of human ACTR3 (AA: 287-418) expressed in E. Coli.    

操作说明

WB    1/500 - 1/2000    

IHC    1/200 - 1/1000    

IF/ICC    1/200 - 1/1000    

ELISA    1/10000    

参考文献