ACAA1单克隆抗体[8E7D11]

AccuSift
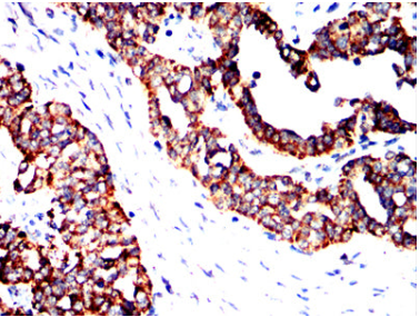
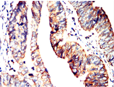
ACAA1 Mouse Monoclonal antibody[8E7D11]
ACAA; THIO; PTHIO
货号 名称 规格 价格 货期 数量
AC1021 ACAA1单克隆抗体[8E7D11] 50ug ¥1250 1周
AC1021 ACAA1单克隆抗体[8E7D11] 100ug ¥2200 1周

This gene encodes an enzyme operative in the beta-oxidation system of the peroxisomes. Deficiency of this enzyme leads to pseudo-Zellweger syndrome. Alternative splicing results in multiple transcript variants.



Aliases   ACAA; THIO; PTHIO    

Entrez GeneID:    30    

Swissprot:    P09110      

WB Predicted band size    44.3kDa    

Host/Isotype :   Mouse IgG1    

Species Reactivity:    Human, Mouse    

Immunogen:    Purified recombinant fragment of human ACAA1(AA: 217-315) expressed in E. Coli. 

操作说明

WB    1/500 - 1/2000    

IHC    1/200 - 1/1000    

FCM    1/200 - 1/400    

ELISA    1/10000    

参考文献