ABCG5单克隆抗体[1B5E10]

AccuSift
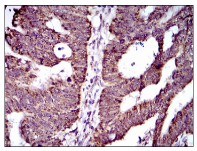
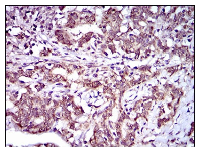
ABCG5 Mouse Monoclonal antibody[1B5E10]
STSL
货号 名称 规格 价格 货期 数量
AC1016 ABCG5单克隆抗体[1B5E10] 50ug ¥1250 1周
AC1016 ABCG5单克隆抗体[1B5E10] 100ug ¥2200 1周

The protein encoded by this gene is a member of the superfamily of ATP-binding cassette (ABC) transporters. ABC proteins transport various molecules across extra- and intra-cellular membranes. ABC genes are divided into seven distinct subfamilies (ABC1, MDR/TAP, MRP, ALD, OABP, GCN20, White). This protein is a member of the White subfamily. The protein encoded by this gene functions as a half-transporter to limit intestinal absorption and promote biliary excretion of sterols. It is expressed in a tissue-specific manner in the liver, colon, and intestine. This gene is tandemly arrayed on chromosome 2, in a head-to-head orientation with family member ABCG8. Mutations in this gene may contribute to sterol accumulation and atheroschlerosis, and have been observed in patients with sitosterolemia.


Aliases:    STSL    

Entrez GeneID:   64240    

Swissprot:   Q9H222    

WB Predicted band size:   72.5kDa    

Host/Isotype:    Mouse IgG1    

Species Reactivity:   Human    

Immunogen:   Purified recombinant fragment of human ABCG5 (AA: 306-367) expressed in E. Coli.    

操作说明

WB    1/500 - 1/2000    

IHC    1/200 - 1/1000    

FCM    1/200 - 1/400    

ELISA    1/10000    

参考文献