ABCG2单克隆抗体[3G8A8]

AccuSift
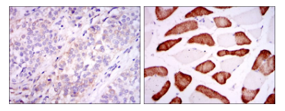
ABCG2 Mouse Monoclonal antibody[3G8A8]
MRX; MXR; ABCP; BCRP; BMDP; MXR1; ABC15; BCRP1; CD338; CDw338; EST157481; MGC102821
货号 名称 规格 价格 货期 数量
AC1014 ABCG2单克隆抗体[3G8A8] 50ug ¥1250 1周
AC1014 ABCG2单克隆抗体[3G8A8] 100ug ¥2200 1周

The membrane-associated protein encoded by this gene is included in the superfamily of ATP-binding cassette (ABC) transporters. ABC proteins transport various molecules across extra- and intra-cellular membranes. ABC genes are divided into seven distinct subfamilies (ABC1, MDR/TAP, MRP, ALD, OABP, GCN20, White). This protein is a member of the White subfamily. Alternatively referred to as a breast cancer resistance protein, this protein functions as a xenobiotic transporter which may play a major role in multi-drug resistance. It likely serves as a cellular defense mechanism in response to mitoxantrone and anthracycline exposure. Significant expression of this protein has been observed in the placenta, which may suggest a potential role for this molecule in placenta tissue.Tissue specificity: Highly expressed in placenta. Low expression in small intestine, liver and colon.


Aliases:    MRX; MXR; ABCP; BCRP; BMDP; MXR1; ABC15; BCRP1; CD338; CDw338; EST157481; MGC102821    

Entrez GeneID:    9429    

Swissprot:  Q9UNQ0      

WB Predicted band size:   72kDa    

Host/Isotype:  Mouse IgG1    

Species Reactivity:  Human,Mouse,Rat,Rabbit,Monkey    

Immunogen:  Purified recombinant fragment of human ABCG2 expressed in E. Coli.    

操作说明

WB    1/500 - 1/2000    

IHC    1/100 - 1/500    

IF/ICC    1/50 - 1/500    

FCM    1/200 - 1/400    

ELISA    1/10000    

参考文献