YWHAB单克隆抗体[5B5G1]

AccuSift
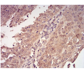
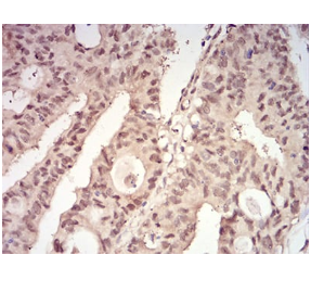
YWHAB Mouse Monoclonal antibody[5B5G1]
HS1; GW128; YWHAA; KCIP-1; HEL-S-1
货号 名称 规格 价格 货期 数量
AC3844 YWHAB单克隆抗体[5B5G1] 50ug ¥1250 1周
AC3844 YWHAB单克隆抗体[5B5G1] 100ug ¥2200 1周

This gene encodes a protein belonging to the 14-3-3 family of proteins, members of which mediate signal transduction by binding to phosphoserine-containing proteins. This highly conserved protein family is found in both plants and mammals. The encoded protein has been shown to interact with RAF1 and CDC25 phosphatases, suggesting that it may play a role in linking mitogenic signaling and the cell cycle machinery. Two transcript variants, which encode the same protein, have been identified for this gene.


Aliases:    HS1; GW128; YWHAA; KCIP-1; HEL-S-1    

Entrez GeneID:    7529    

Swissprot :   P31946    

WB Predicted band size:    28kDa    

Host/Isotype:    Mouse IgG2b    

Species Reactivity:    Human,Mouse,Rat    

Immunogen:    Purified recombinant fragment of human YWHAB (AA: 1-246) expressed in E. Coli.   


操作说明

WB    1/500 - 1/2000    

IHC    1/200 - 1/1000    

IF/ICC    1/200 - 1/1000    

FCM    1/200 - 1/400    

ELISA    1/10000    

参考文献