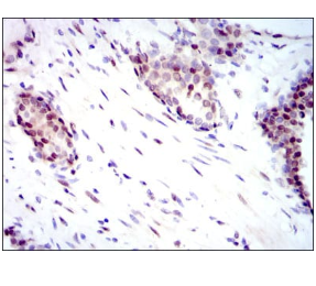
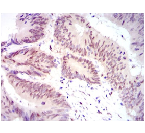
YAP1单克隆抗体[1A19]

AccuSift
YAP1 Mouse Monoclonal antibody[1A19]
YAP; YKI; YAP2; YAP65
货号 名称 规格 价格 货期 数量
AC3841 YAP1单克隆抗体[1A19] 50ug ¥1250 1周
AC3841 YAP1单克隆抗体[1A19] 100ug ¥2200 1周

This gene encodes the human ortholog of chicken YAP protein which binds to the SH3 domain of the Yes proto-oncogene product. This protein contains a WW domain that is found in various structural, regulatory and signaling molecules in yeast, nematode, and mammals, and may be involved in protein-protein interaction.


Aliases:    YAP; YKI; YAP2; YAP65    

Entrez GeneID:    10413    

Swissprot:    P46937    

Host/Isotype:    Mouse IgG1    

Species Reactivity:    Human,Mouse,Rat,Monkey,Rabbit    

Immunogen:    Purified recombinant fragment of human YAP1 expressed in E. Coli.    


操作说明

WB    1/500 - 1/2000    

IHC    1/100 - 1/500    

FCM    1/200 - 1/400    

ELISA    1/10000    

参考文献