XRN2单克隆抗体[9F7G1]

AccuSift
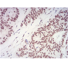
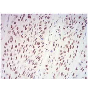
XRN2 Mouse Monoclonal antibody[9F7G1]
货号 名称 规格 价格 货期 数量
AC3840 XRN2单克隆抗体[9F7G1] 50ug ¥1250 1周
AC3840 XRN2单克隆抗体[9F7G1] 100ug ¥2200 1周

This gene encodes a 5'-3' exonuclease that promotes transcription termination at cotranscriptional cleavage sites. Alternative splicing results in multiple transcript variants encoding different isoforms.


Entrez GeneID:    22803     

Swissprot    Q9H0D6    

WB Predicted band size:    108.5kDa    

Host/Isotype:    Mouse IgG1    

Species Reactivity:    Human    

Immunogen:    Purified recombinant fragment of human XRN2 (AA: 398-547) expressed in E. Coli.    


操作说明

WB    1/500 - 1/2000    

IHC    1/200 - 1/1000    

ELISA    1/10000    

参考文献