XRCC6单克隆抗体[2F7F5]

AccuSift
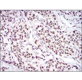
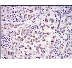
XRCC6 Mouse Monoclonal antibody[2F7F5]
ML8; KU70; TLAA; CTC75; CTCBF; G22P1
货号 名称 规格 价格 货期 数量
AC3837 XRCC6单克隆抗体[2F7F5] 50ug ¥1250 1周
AC3837 XRCC6单克隆抗体[2F7F5] 100ug ¥2200 1周

The p70/p80 autoantigen is a nuclear complex consisting of two subunits with molecular masses of approximately 70 and 80 kDa. The complex functions as a single-stranded DNA-dependent ATP-dependent helicase. The complex may be involved in the repair of nonhomologous DNA ends such as that required for double-strand break repair, transposition, and V(D)J recombination. High levels of autoantibodies to p70 and p80 have been found in some patients with systemic lupus erythematosus.


Aliases:    ML8; KU70; TLAA; CTC75; CTCBF; G22P1    

Entrez GeneID:    2547    

Swissprot:    P12956    

WB Predicted band size:    69.8kDa    

Host/Isotype:    Mouse IgG1    

Species Reactivity:    Human    

Immunogen :   Purified recombinant fragment of human XRCC6 (AA: 6-214) expressed in E. Coli.    


操作说明

WB    1/500 - 1/2000    

IHC    1/200 - 1/1000    

IF/ICC    1/200 - 1/1000    

FCM    1/200 - 1/400    

ELISA    1/10000    


参考文献