XRCC5单克隆抗体[5C5G6]

AccuSift
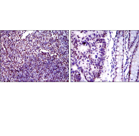
XRCC5 Mouse Monoclonal antibody[5C5G6]
KU80; KUB2; Ku86; NFIV; KARP1; KARP-1; FLJ39089
货号 名称 规格 价格 货期 数量
AC3836 XRCC5单克隆抗体[5C5G6] 50ug ¥1250 1周
AC3836 XRCC5单克隆抗体[5C5G6] 100ug ¥2200 1周

The protein encoded by this gene is the 80-kilodalton subunit of the Ku heterodimer protein which is also known as ATP-dependant DNA helicase II or DNA repair protein XRCC5. Ku is the DNA-binding component of the DNA-dependent protein kinase, and it functions together with the DNA ligase IV-XRCC4 complex in the repair of DNA double-strand break by non-homologous end joining and the completion of V(D)J recombination events. This gene functionally complements Chinese hamster xrs-6, a mutant defective in DNA double-strand break repair and in ability to undergo V(D)J recombination. A rare microsatellite polymorphism in this gene is associated with cancer in patients of varying radiosensitivity.


Aliases:    KU80; KUB2; Ku86; NFIV; KARP1; KARP-1; FLJ39089    

Entrez GeneID:    7520    

Swissprot:    P13010    

WB Predicted band size:    86kDa    

Host/Isotype:    Mouse IgG1    

Species Reactivity:    Human,Mouse    

Immunogen:    Purified recombinant fragment of human XRCC5 expressed in E. Coli.    


操作说明

WB    1/500 - 1/2000    

IHC    1/200 - 1/1000    

IF/ICC    1/200 - 1/1000    

FCM    1/200 - 1/400    

ELISA    1/10000    

参考文献