XRCC1单克隆抗体[7B412]

AccuSift
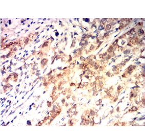
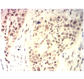
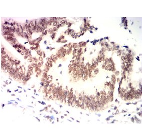
XRCC1 Mouse Monoclonal antibody[7B412]
RCC; SCAR26
货号 名称 规格 价格 货期 数量
AC3835 XRCC1单克隆抗体[7B412] 50ug ¥1250 1周
AC3835 XRCC1单克隆抗体[7B412] 100ug ¥2200 1周

The protein encoded by this gene is involved in the efficient repair of DNA single-strand breaks formed by exposure to ionizing radiation and alkylating agents. This protein interacts with DNA ligase III, polymerase beta and poly (ADP-ribose) polymerase to participate in the base excision repair pathway. It may play a role in DNA processing during meiogenesis and recombination in germ cells. A rare microsatellite polymorphism in this gene is associated with cancer in patients of varying radiosensitivity.


Aliases:    RCC; SCAR26    

Entrez GeneID:    7515    

Swissprot :   P18887    

WB Predicted band size:    69.5kDa    

Host/Isotype:    Mouse IgG1    

Species Reactivity:    Human, Monkey    

Immunogen:    Purified recombinant fragment of human XRCC1 (AA:1-150) expressed in E. Coli.    


操作说明

WB    1/500 - 1/2000    

IHC    1/200 - 1/1000    

FCM    1/200 - 1/400    

ELISA    1/10000    

参考文献