XPC单克隆抗体[5F4D3]

AccuSift
XPC Mouse Monoclonal antibody[5F4D3]
XP3; RAD4; XPCC; p125
货号 名称 规格 价格 货期 数量
AC3833 XPC单克隆抗体[5F4D3] 50ug ¥1250 1周
AC3833 XPC单克隆抗体[5F4D3] 100ug ¥2200 1周

The protein encoded by this gene is a key component of the XPC complex, which plays an important role in the early steps of global genome nucleotide excision repair (NER). The encoded protein is important for damage sensing and DNA binding, and shows a preference for single-stranded DNA. Mutations in this gene or some other NER components can result in Xeroderma pigmentosum, a rare autosomal recessive disorder characterized by increased sensitivity to sunlight with the development of carcinomas at an early age. Alternatively spliced transcript variants have been found for this gene.


Aliases:    XP3; RAD4; XPCC; p125    

Entrez GeneID:    7508    

Swissprot:   Q01831    

WB Predicted band size:    106kDa    

Host/Isotype:   Mouse IgG1    

Species Reactivity:    Human    

Immunogen:    Purified recombinant fragment of human XPC (AA: 32-133) expressed in mammalian.    


操作说明

WB    1/500 - 1/2000    

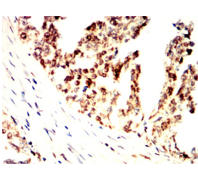
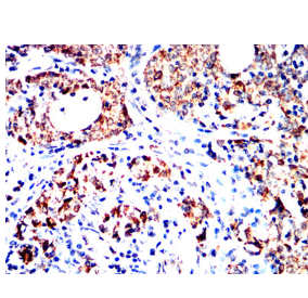
IHC    1/200 - 1/1000    

IF/ICC    1/50 - 1/200    

FCM    1/200 - 1/400    

ELISA    1/10000    

参考文献