WTAP单克隆抗体[6B6B6]

AccuSift
WTAP Mouse Monoclonal antibody[6B6B6]
PNAS-132;hFL(2)D;KIAA0105
货号 名称 规格 价格 货期 数量
AC3828 WTAP单克隆抗体[6B6B6] 50ug ¥1250 1周
AC3828 WTAP单克隆抗体[6B6B6] 100ug ¥2200 1周

The Wilms tumor suppressor gene WT1 appears to play a role in both transcriptional and posttranscriptional regulation of certain cellular genes. This gene encodes a WT1-associating protein, which is a ubiquitously expressed nuclear protein. Like WT1 protein, this protein is localized throughout the nucleoplasm as well as in speckles and partially colocalizes with splicing factors. Alternative splicing of this gene results in several transcript variants encoding three different isoforms.


Aliases:    PNAS-132;hFL(2)D;KIAA0105    

Entrez GeneID :   9589     

Swissprot:    Q15007    

WB Predicted band size:    44.2kDa    

Host/Isotype:    Mouse IgG1    

Species Reactivity :   Human,Mouse,Rat,Rabbit,Monkey    

Immunogen:    Purified recombinant fragment of human WTAP (AA: 91-201) expressed in E. Coli.    


操作说明

WB    1/500 - 1/2000    

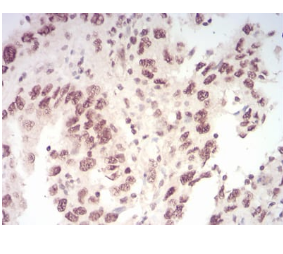
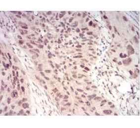
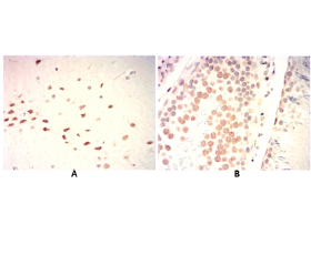
IHC    1/100 - 1/500    

IF/ICC    1/50 - 1/500    

FCM    1/200 - 1/400    

ELISA    1/10000    

参考文献