WT1单克隆抗体[7F9E8]

AccuSift
WT1 Mouse Monoclonal antibody[7F9E8]
GUD; AWT1; WAGR; WT33; NPHS4; WIT-2
货号 名称 规格 价格 货期 数量
AC3826 WT1单克隆抗体[7F9E8] 50ug ¥1250 1周
AC3826 WT1单克隆抗体[7F9E8] 100ug ¥2200 1周

This gene encodes a transcription factor that contains four zinc-finger motifs at the C-terminus and a proline/glutamine-rich DNA-binding domain at the N-terminus. It has an essential role in the normal development of the urogenital system, and it is mutated in a small subset of patients with Wilms tumor. This gene exhibits complex tissue-specific and polymorphic imprinting pattern, with biallelic, and monoallelic expression from the maternal and paternal alleles in different tissues. Multiple transcript variants have been described. In several variants, there is evidence for the use of a non-AUG (CUG) translation initiation codon upstream of, and in-frame with the first AUG. Authors of PMID:7926762 also provide evidence that WT1 mRNA undergoes RNA editing in human and rat, and that this process is tissue-restricted and developmentally regulated.


Aliases:    GUD; AWT1; WAGR; WT33; NPHS4; WIT-2    

Entrez GeneID:    7490    

Swissprot:    P19544    

WB Predicted band size :   49.2kDa    

Host/Isotype:    Mouse IgG1    

Species Reactivity:    Human, Monkey    

Immunogen:    Purified recombinant fragment of human WT1 (AA: 1-181) expressed in E. Coli.    


操作说明

WB    1/500 - 1/2000    

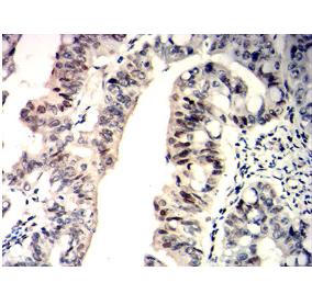
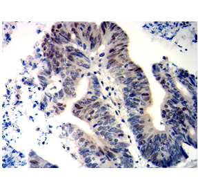
IHC    1/200-1/1000    

IF/ICC    1/200 - 1/1000    

FCM    1/200-1/400    

ELISA    1/10000    

参考文献