WHSC2单克隆抗体[6B11]

AccuSift
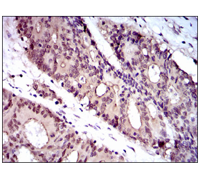
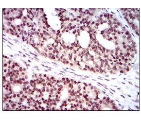
WHSC2 Mouse Monoclonal antibody[6B11]
NELFA; NELF-A; P/OKcl.15
货号 名称 规格 价格 货期 数量
AC3817 WHSC2单克隆抗体[6B11] 50ug ¥1250 1周
AC3817 WHSC2单克隆抗体[6B11] 100ug ¥2200 1周

This gene is expressed ubiquitously with higher levels in fetal than in adult tissues. It encodes a protein sharing 93% sequence identity with the mouse protein. Wolf-Hirschhorn syndrome (WHS) is a malformation syndrome associated with a hemizygous deletion of the distal short arm of chromosome 4. This gene is mapped to the 165 kb WHS critical region, and may play a role in the phenotype of the WHS or Pitt-Rogers-Danks syndrome. The encoded protein is found to be capable of reacting with HLA-A2-restricted and tumor-specific cytotoxic T lymphocytes, suggesting a target for use in specific immunotherapy for a large number of cancer patients. This protein has also been shown to be a member of the NELF (negative elongation factor) protein complex that participates in the regulation of RNA polymerase II transcription elongation.


Aliases:    NELFA; NELF-A; P/OKcl.15    

Entrez GeneID:    7469    

Swissprot :   Q9H3P2     

WB Predicted band size:    57.3kDa    

Host/Isotype:    Mouse IgG2b    

Species Reactivity:    Human    

Immunogen:    Purified recombinant fragment of human WHSC2 (AA: 280-511) expressed in E. Coli.    


操作说明

WB    1/500 - 1/2000    

IHC    1/200 - 1/1000    

IF/ICC    1/200 - 1/1000    

FCM    1/200 - 1/400    

ELISA    1/10000    

参考文献