WAS单克隆抗体[7B10]

AccuSift
WAS Mouse Monoclonal antibody[7B10]
THC; IMD2; SCNX; THC1; WASP
货号 名称 规格 价格 货期 数量
AC3812 WAS单克隆抗体[7B10] 50ug ¥1250 1周
AC3812 WAS单克隆抗体[7B10] 100ug ¥2200 1周

The Wiskott-Aldrich syndrome (WAS) family of proteins share similar domain structure, and are involved in transduction of signals from receptors on the cell surface to the actin cytoskeleton. The presence of a number of different motifs suggests that they are regulated by a number of different stimuli, and interact with multiple proteins. Recent studies have demonstrated that these proteins, directly or indirectly, associate with the small GTPase, Cdc42, known to regulate formation of actin filaments, and the cytoskeletal organizing complex, Arp2/3. Wiskott-Aldrich syndrome is a rare, inherited, X-linked, recessive disease characterized by immune dysregulation and microthrombocytopenia, and is caused by mutations in the WAS gene. The WAS gene product is a cytoplasmic protein, expressed exclusively in hematopoietic cells, which show signalling and cytoskeletal abnormalities in WAS patients. A transcript variant arising as a result of alternative promoter usage, and containing a different 5' UTR sequence, has been described, however, its full-length nature is not known.


Aliases:    THC; IMD2; SCNX; THC1; WASP    

Entrez GeneID:    7454    

Swissprot :   P42768    

WB Predicted band size:    53kDa    

Host/Isotype:    Mouse IgG2a    

Species Reactivity:    Human    

Immunogen:    Purified recombinant fragment of human WAS (AA: 57-170) expressed in E. Coli.    


操作说明

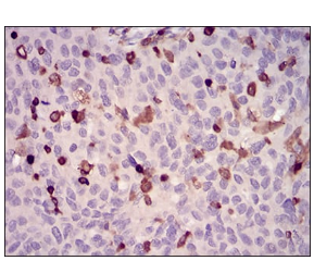
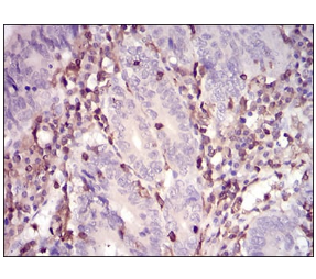
IHC    1/200 - 1/1000    

FCM    1/200 - 1/400    

ELISA    1/10000    

参考文献