VTN单克隆抗体[1G18]

AccuSift
VTN Mouse Monoclonal antibody[1G18]
VN; V75; VNT
货号 名称 规格 价格 货期 数量
AC3811 VTN单克隆抗体[1G18] 50ug ¥1250 1周
AC3811 VTN单克隆抗体[1G18] 100ug ¥2200 1周

The protein encoded by this gene is a member of the pexin family. It is found in serum and tissues and promotes cell adhesion and spreading, inhibits the membrane-damaging effect of the terminal cytolytic complement pathway, and binds to several serpin serine protease inhibitors. It is a secreted protein and exists in either a single chain form or a clipped, two chain form held together by a disulfide bond.


Aliases:    VN; V75; VNT    

Entrez GeneID:    7448    

Swissprot :   P04004    

WB Predicted band size:    54.3kDa    

Host/Isotype:    Mouse IgG2b    

Species Reactivity:    Human    

Immunogen:    Purified recombinant fragment of human VTN (AA: 20-199) expressed in E. Coli.    


操作说明

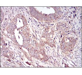
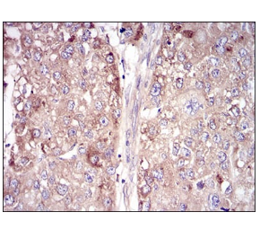
IHC    1/200 - 1/1000    

FCM    1/200 - 1/400    

ELISA    1/10000    

参考文献