VIMP单克隆抗体[7F8G1]

AccuSift
VIMP Mouse Monoclonal antibody[7F8G1]
SELS; ADO15; SBBI8; SEPS1; AD-015
货号 名称 规格 价格 货期 数量
AC3807 VIMP单克隆抗体[7F8G1] 50ug ¥1250 1周
AC3807 VIMP单克隆抗体[7F8G1] 100ug ¥2200 1周

This gene encodes a member of the selenoprotein family, characterized by a selenocysteine (Sec) residue at the active site. The selenocysteine is encoded by the UGA codon that normally signals translation termination. The 3' UTR of selenoprotein genes have a common stem-loop structure, the sec insertion sequence (SECIS), that is necessary for the recognition of UGA as a Sec codon rather than as a stop signal. Studies suggest that this protein may regulate cytokine production, and thus play a key role in the control of the inflammatory response. Alternative splicing results in multiple transcript variants encoding different isoforms.


Aliases:    SELS; ADO15; SBBI8; SEPS1; AD-015    

Entrez GeneID:    55829    

Swissprot:    Q9BQE4    

WB Predicted band size:    21.2kDa    

Host/Isotype:    Mouse IgG2b    

Species Reactivity:    Human    

Immunogen:    Purified recombinant fragment of human VIMP (AA: 1-187) expressed in E. Coli.    


操作说明

WB    1/500 - 1/2000    

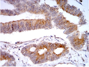
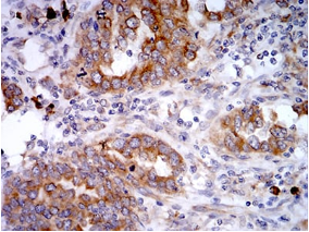
IHC    1/200 - 1/1000    

ELISA    1/10000    

参考文献