Vimentin单克隆抗体[3A1F2]

AccuSift
Vimentin Mouse Monoclonal antibody[3A1F2]
货号 名称 规格 价格 货期 数量
AC3802 Vimentin单克隆抗体[3A1F2] 50ug ¥1250 1周
AC3802 Vimentin单克隆抗体[3A1F2] 100ug ¥2200 1周

This gene encodes a type III intermediate filament protein. Intermediate filaments, along with microtubules and actin microfilaments, make up the cytoskeleton. The encoded protein is responsible for maintaining cell shape and integrity of the cytoplasm, and stabilizing cytoskeletal interactions. This protein is involved in neuritogenesis and cholesterol transport and functions as an organizer of a number of other critical proteins involved in cell attachment, migration, and signaling. Bacterial and viral pathogens have been shown to attach to this protein on the host cell surface. Mutations in this gene are associated with congenital cataracts in human patients.


Aliases:    FLJ36605; VIM    

Entrez GeneID:    7431    

Swissprot :   P08670    

WB Predicted band size:    53.7kDa    

Host/Isotype:    Mouse IgG2a    

Species Reactivity:    Human, Mouse, Rat    

Immunogen:    Purified recombinant fragment of human VIM (AA: 2-466) expressed in E. Coli.    


操作说明

WB    1/500 - 1/2000    

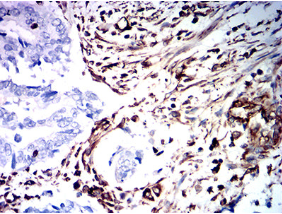
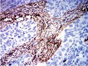
IHC    1/200-1/1000    

FCM    1/200-1/400    

ELISA    1/10000    

参考文献