VCAM1单克隆抗体[6G9G1]

AccuSift
VCAM1 Mouse Monoclonal antibody[6G9G1]
CD106; MGC99561; INCAM-100; DKFZp779G2333; VCAM1
货号 名称 规格 价格 货期 数量
AC3796 VCAM1单克隆抗体[6G9G1] 50ug ¥1250 1周
AC3796 VCAM1单克隆抗体[6G9G1] 100ug ¥2200 1周

This gene is a member of the Ig superfamily and encodes a cell surface sialoglycoprotein expressed by cytokine-activated endothelium. This type I membrane protein mediates leukocyte-endothelial cell adhesion and signal transduction, and may play a role in the development of artherosclerosis and rheumatoid arthritis. Two alternatively spliced transcripts encoding different isoforms have been described for this gene.Tissue specificity: Expressed on inflamed vascular endothelium, as well as on macrophage-like and dendritic cell types in both normal and inflamed tissue.INVITROGEN: CD106 is expressed on bone marrow stromal cells, myeloid cells, and endothelial cells.


Aliases:    CD106; MGC99561; INCAM-100; DKFZp779G2333; VCAM1    

Entrez GeneID:    7412    

Swissprot :   P19320    

WB Predicted band size:    81kDa    

Host/Isotype:    Mouse IgG1    

Species Reactivity:    Human    

Immunogen:    Purified recombinant fragment of human VCAM1 expressed in E. Coli.    


操作说明

WB    1/500 - 1/2000    

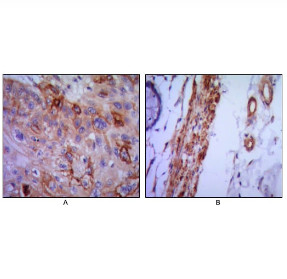
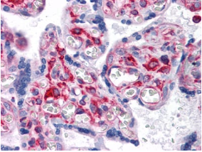
IHC    1/200 - 1/1000    

ELISA    1/10000    

参考文献