USP7单克隆抗体[6A3F3]

AccuSift
USP7 Mouse Monoclonal antibody[6A3F3]
TEF1; HAUSP; HAFOUS
货号 名称 规格 价格 货期 数量
AC3789 USP7单克隆抗体[6A3F3] 50ug ¥1250 1周
AC3789 USP7单克隆抗体[6A3F3] 100ug ¥2200 1周

The protein encoded by this gene belongs to the peptidase C19 family, which includes ubiquitinyl hydrolases. This protein deubiquitinates target proteins such as p53 (a tumor suppressor protein) and WASH (essential for endosomal protein recycling), and regulates their activities by counteracting the opposing ubiquitin ligase activity of proteins such as HDM2 and TRIM27, involved in the respective process. Mutations in this gene have been implicated in a neurodevelopmental disorder. [provided by RefSeq, Mar 2016]


Aliases:    TEF1; HAUSP; HAFOUS    

Entrez GeneID:    7874    

Swissprot :   Q93009    

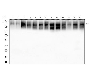
WB Predicted band size:    128kDa    

Host/Isotype:    Mouse IgG2b    

Species Reactivity:    Human, Mouse, Rat, Monkey    

Immunogen:    Purified recombinant fragment of human USP7 (AA:1-208) expressed in E. Coli.    


操作说明

WB    1/500 - 1/2000    

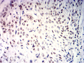
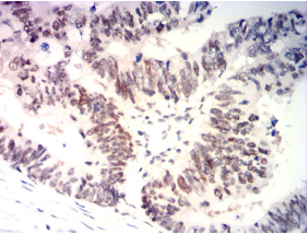
IHC    1/200 - 1/1000    

IF/ICC    1/200 - 1/1000    

FCM    1/200 - 1/400    

ELISA    1/10000    

参考文献