ULK3单克隆抗体[5A5G2]

AccuSift
ULK3 Mouse Monoclonal antibody[5A5G2]
货号 名称 规格 价格 货期 数量
AC3782 ULK3单克隆抗体[5A5G2] 50ug ¥1250 1周
AC3782 ULK3单克隆抗体[5A5G2] 100ug ¥2200 1周

Enables protein serine/threonine kinase activity. Involved in several processes, including fibroblast activation; protein autophosphorylation; and regulation of smoothened signaling pathway. Located in cytoplasm.


Entrez GeneID:    25989     

Swissprot :   Q6PHR2    

WB Predicted band size:    53.4kDa    

Host/Isotype:    Mouse IgG1    

Species Reactivity:    Human, Rat    

Immunogen:    Purified recombinant fragment of human ULK3 expressed in E. Coli.    


操作说明

WB    1/500 - 1/2000    

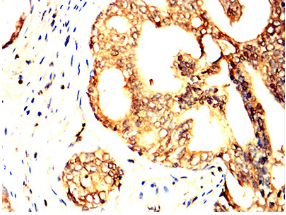
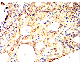
IHC    1/200 - 1/1000    

IF/ICC    1/50 - 1/200    

FCM    1/200 - 1/400    

参考文献