UHRF1单克隆抗体[2A8C7]

AccuSift
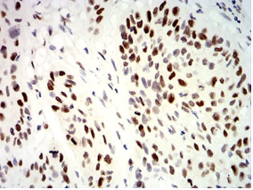
UHRF1 Mouse Monoclonal antibody[2A8C7]
Np95; hNP95; ICBP90; RNF106; TDRD22; hUHRF1; huNp95
货号 名称 规格 价格 货期 数量
AC3773 UHRF1单克隆抗体[2A8C7] 50ug ¥1250 1周
AC3773 UHRF1单克隆抗体[2A8C7] 100ug ¥2200 1周

This gene encodes a member of a subfamily of RING-finger type E3 ubiquitin ligases. The protein binds to specific DNA sequences, and recruits a histone deacetylase to regulate gene expression. Its expression peaks at late G1 phase and continues during G2 and M phases of the cell cycle. It plays a major role in the G1/S transition by regulating topoisomerase IIalpha and retinoblastoma gene expression, and functions in the p53-dependent DNA damage checkpoint. It is regarded as a hub protein for the integration of epigenetic information. This gene is up-regulated in various cancers, and it is therefore considered to be a therapeutic target. Multiple transcript variants encoding different isoforms have been found for this gene. A related pseudogene exists on chromosome 12.


Aliases :   Np95; hNP95; ICBP90; RNF106; TDRD22; hUHRF1; huNp95    

Entrez GeneID:    29128    

Swissprot :   Q96T88    

WB Predicted band size:    89.8kDa    

Host/Isotype:    Mouse IgG1    

Species Reactivity:    Human    

Immunogen:    Purified recombinant fragment of human UHRF1 (AA: 616-755) expressed in E. Coli.    


操作说明

WB    1/500 - 1/2000    

IHC    1/200 - 1/1000    

ELISA    1/10000    

参考文献