UCHL1单克隆抗体[1D1B1]

AccuSift
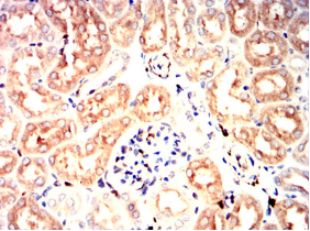
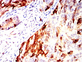
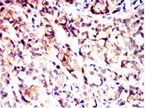
UCHL1 Mouse Monoclonal antibody[1D1B1]
NDGOA; PARK5; PGP95; SPG79; PGP9.5; UCHL-1; Uch-L1; HEL-117; PGP 9.5; HEL-S-53
货号 名称 规格 价格 货期 数量
AC3766 UCHL1单克隆抗体[1D1B1] 50ug ¥1250 1周
AC3766 UCHL1单克隆抗体[1D1B1] 100ug ¥2200 1周

The protein encoded by this gene belongs to the peptidase C12 family. This enzyme is a thiol protease that hydrolyzes a peptide bond at the C-terminal glycine of ubiquitin. This gene is specifically expressed in the neurons and in cells of the diffuse neuroendocrine system. Mutations in this gene may be associated with Parkinson disease.


Aliases:    NDGOA; PARK5; PGP95; SPG79; PGP9.5; UCHL-1; Uch-L1; HEL-117; PGP 9.5; HEL-S-53 Entrez GeneID:    7345    

Swissprot :   P09936    

WB Predicted band size:    24.8kDa    

Host/Isotype:    Mouse IgG2b    

Species Reactivity:    Human, Mouse, Rat    

Immunogen:    Purified recombinant fragment of human UCHL1 (AA: 1-220) expressed in E. Coli.    


操作说明

WB    1/500 - 1/2000    

IHC    1/200 - 1/1000    

FCM    1/200 - 1/400    

ELISA    1/10000    

参考文献