UBE2C单克隆抗体[1F5D3]

AccuSift
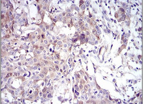
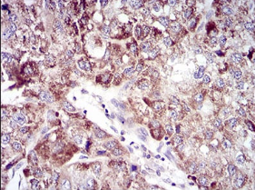
UBE2C Mouse Monoclonal antibody[1F5D3]
UBCH10; dJ447F3.2
货号 名称 规格 价格 货期 数量
AC3763 UBE2C单克隆抗体[1F5D3] 50ug ¥1250 1周
AC3763 UBE2C单克隆抗体[1F5D3] 100ug ¥2200 1周

The modification of proteins with ubiquitin is an important cellular mechanism for targeting abnormal or short-lived proteins for degradation. Ubiquitination involves at least three classes of enzymes: ubiquitin-activating enzymes, ubiquitin-conjugating enzymes, and ubiquitin-protein ligases. This gene encodes a member of the E2 ubiquitin-conjugating enzyme family. The encoded protein is required for the destruction of mitotic cyclins and for cell cycle progression, and may be involved in cancer progression. Multiple transcript variants encoding different isoforms have been found for this gene. Pseudogenes of this gene have been defined on chromosomes 4, 14, 15, 18, and 19.


Aliases:    UBCH10; dJ447F3.2    

Entrez GeneID:    11065    

Swissprot :   O00762    

WB Predicted band size:   19.7kDa    

Host/Isotype:    Mouse IgG2a    

Species Reactivity:    Human    

Immunogen:    Purified recombinant fragment of human UBE2C (AA: FULL(1-179)) expressed in E. Coli.    


操作说明

WB    1/500 - 1/2000    

IHC    1/200 - 1/1000    

ELISA    1/10000    

参考文献