TWF1单克隆抗体[7C11U]

AccuSift
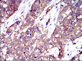
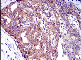
TWF1 Mouse Monoclonal antibody[7C11U]
A6; PTK9; MGC23788; MGC41876
货号 名称 规格 价格 货期 数量
AC3751 TWF1单克隆抗体[7C11U] 50ug ¥1250 1周
AC3751 TWF1单克隆抗体[7C11U] 100ug ¥2200 1周

This gene encodes twinfilin, an actin monomer-binding protein conserved from yeast to mammals. Studies of the mouse counterpart suggest that this protein may be an actin monomer-binding protein, and its localization to cortical G-actin-rich structures may be regulated by the small GTPase RAC1.


Aliases:    A6; PTK9; MGC23788; MGC41876    

Entrez GeneID:    5756    

Swissprot:    Q12792    

WB Predicted band size:    40.3kDa    

Host/Isotype:    Mouse IgG1    

Species Reactivity:    Human    

Immunogen:    Purified recombinant fragment of human TWF1 (AA: 335-384 ) expressed in E. Coli.    


操作说明

IHC    1/200 - 1/1000    

IF/ICC    1/100    

FCM    1/200 - 1/400    

ELISA    1/10000    

参考文献