TUBE1单克隆抗体[5F3B7]

AccuSift
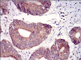
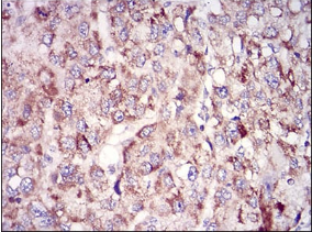
TUBE1 Mouse Monoclonal antibody[5F3B7]
TUBE; dJ142L7.2
货号 名称 规格 价格 货期 数量
AC3749 TUBE1单克隆抗体[5F3B7] 50ug ¥1250 1周
AC3749 TUBE1单克隆抗体[5F3B7] 100ug ¥2200 1周

This gene encodes a member of the tubulin superfamily. This protein localizes to the centriolar sub-distal appendages that are associated with the older of the two centrioles after centrosome duplication. This protein plays a central role in organization of the microtubules during centriole duplication. A pseudogene of this gene is found on chromosome 5.


Aliases:    TUBE; dJ142L7.2    

Entrez GeneID:    51175    

Swissprot :   Q9UJT0    

WB Predicted band size:    53kDa    

Host/Isotype:    Mouse IgG1    

Species Reactivity:    Human    

Immunogen:    Purified recombinant fragment of human TUBE1 (AA: 314-472) expressed in E. Coli.    


操作说明

IHC    1/200 - 1/1000    

FCM    1/200 - 1/400    

ELISA    1/10000    

参考文献