TUBB3单克隆抗体[8E3A7]

AccuSift
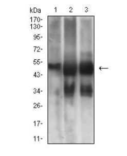
TUBB3 Mouse Monoclonal antibody[8E3A7]
CDCBM; FEOM3; TUBB4; CDCBM1; CFEOM3; beta-4; CFEOM3A
货号 名称 规格 价格 货期 数量
AC3748 TUBB3单克隆抗体[8E3A7] 100ug ¥1350 1周
AC3748 TUBB3单克隆抗体[8E3A7] 200ug ¥2400 1周

This gene encodes a tumor suppressor protein containing transcriptional activation, DNA binding, and oligomerization domains. The encoded protein responds to diverse cellular stresses to regulate expression of target genes, thereby inducing cell cycle arrest, apoptosis, senescence, DNA repair, or changes in metabolism. Mutations in this gene are associated with a variety of human cancers, including hereditary cancers such as Li-Fraumeni syndrome. Alternative splicing of this gene and the use of alternate promoters result in multiple transcript variants and isoforms. Additional isoforms have also been shown to result from the use of alternate translation initiation codons from identical transcript variants.


Aliases:    CDCBM, CDCBM1, CFEOM3, CFEOM3A, FEOM3, TUBB4, beta-4    

Entrez GeneID:    10381    

Swissprot :   Q13509    

WB Predicted band size:    50kDa    

Host/Isotype:    Mouse IgG1    

Species Reactivity:    Human, Mouse    

Immunogen:    436-450:cMYEDDEEESEAQGPK    


操作说明

WB    1/500 - 1/2000    

IHC    1/200 - 1/1000    

FCM    1/200 - 1/400    

ELISA    1/10000    

参考文献