TUBB1单克隆抗体[2A1A9]

AccuSift
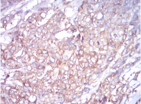
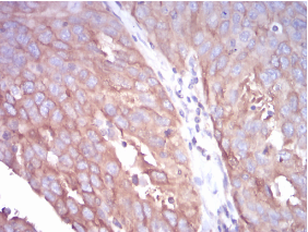
TUBB1 Mouse Monoclonal antibody[2A1A9]
货号 名称 规格 价格 货期 数量
AC3744 TUBB1单克隆抗体[2A1A9] 50ug ¥1250 1周
AC3744 TUBB1单克隆抗体[2A1A9] 100ug ¥2200 1周

This gene encodes a member of the beta tubulin protein family. Beta tubulins are one of two core protein families (alpha and beta tubulins) that heterodimerize and assemble to form microtubules. This protein is specifically expressed in platelets and megakaryocytes and may be involved in proplatelet production and platelet release. A mutations in this gene is associated with autosomal dominant macrothrombocytopenia. Two pseudogenes of this gene are found on chromosome Y.


Aliases:    Tubulin beta-1 chain    

Entrez GeneID:    81027    

Swissprot:    Q9H4B7    

WB Predicted band size:    50.3kDa    

Host/Isotype:    Mouse IgG1    

Species Reactivity:    Human,Mouse,Monkey,Rat    

Immunogen:    Purified recombinant fragment of human TUBB1 (AA: 33-166) expressed in E. Coli.    


操作说明

WB    1/500 - 1/2000    

IHC    1/200 - 1/1000    

IF/ICC    1/200 - 1/1000    

FCM    1/200 - 1/400    

ELISA    1/10000    

参考文献