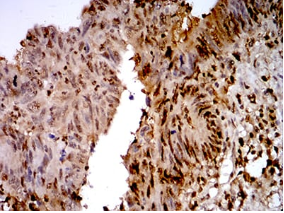
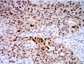
TTF1单克隆抗体[2F488]

AccuSift
TTF1 Mouse Monoclonal antibody[2F488]
TTF-1; TTF-I
货号 名称 规格 价格 货期 数量
AC3737 TTF1单克隆抗体[2F488] 50ug ¥1250 1周
AC3737 TTF1单克隆抗体[2F488] 100ug ¥2200 1周

This gene encodes a transcription termination factor that is localized to the nucleolus and plays a critical role in ribosomal gene transcription. The encoded protein mediates the termination of RNA polymerase I transcription by binding to Sal box terminator elements downstream of pre-rRNA coding regions. Alternatively spliced transcript variants encoding multiple isoforms have been observed for this gene. This gene shares the symbol/alias 'TFF1' with another gene, NK2 homeobox 1, also known as thyroid transcription factor 1, which plays a role in the regulation of thyroid-specific gene expression.


Aliases:    TTF-1; TTF-I    

Entrez GeneID:    7270     

Swissprot:    Q15361    

WB Predicted band size:    103kDa    

Host/Isotype:    Mouse IgG1    

Species Reactivity:    Human    

Immunogen:    Purified recombinant fragment of human TTF1 (AA: 1-150) expressed in E. Coli.    


操作说明

IHC    1/200 - 1/1000    

IF/ICC    1/200 - 1/1000    

FCM    1/200 - 1/400    

ELISA    1/10000    

参考文献