TSPAN8单克隆抗体[8A4A1]

AccuSift
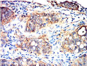
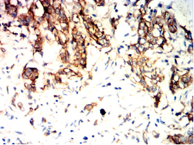
TSPAN8 Mouse Monoclonal antibody[8A4A1]
CO-029; TM4SF3
货号 名称 规格 价格 货期 数量
AC3736 TSPAN8单克隆抗体[8A4A1] 50ug ¥1250 1周
AC3736 TSPAN8单克隆抗体[8A4A1] 100ug ¥2200 1周

The protein encoded by this gene is a member of the transmembrane 4 superfamily, also known as the tetraspanin family. Most of these members are cell-surface proteins that are characterized by the presence of four hydrophobic domains. The proteins mediate signal transduction events that play a role in the regulation of cell development, activation, growth and motility. This encoded protein is a cell surface glycoprotein that is known to complex with integrins. This gene is expressed in different carcinomas. The use of alternate polyadenylation sites has been found for this gene.


Aliases:    CO-029; TM4SF3    

Entrez GeneID:    7103    

Swissprot :   P19075    

WB Predicted band size:    26 kDa    

Host/Isotype:    Mouse IgG1    

Species Reactivity:    Human    

Immunogen:    Purified recombinant fragment of human TSPAN8 (AA: Extra(110-205)) expressed in E. Coli.    


操作说明

WB    1/500 - 1/2000    

IHC    1/200 - 1/1000    

FCM    1/200 - 1/400    

ELISA    1/10000    

参考文献